Skip to content Skip to sidebar Skip to footer

Myocarditis Mri / Figure 1 A Family History Of Dilated Cardiomyopathy Induced By Viral Myocarditis / Severe myocarditis weakens your heart so that the rest of your body doesn't get enough blood.

Myocarditis Mri / Figure 1 A Family History Of Dilated Cardiomyopathy Induced By Viral Myocarditis / Severe myocarditis weakens your heart so that the rest of your body doesn't get enough blood.. In addition to its use for potential giant cell myocarditis, emb, combined with cardiac imaging. N myocarditis is an inflammatory disease of the heart muscle, diagnosed by established histological n the true incidence of myocarditis is unknown because the majority of cases are asymptomatic. When you have an infection, your immune system produces special cells to fight off disease. Myocarditides) is a general term referring to inflammation of the myocardium. Cardiac mri is particularly useful because the iron overload directly affects magnetic resonance imaging classified as idiopathic, these cases are attributed to genetic factors, viral myocarditis.

N myocarditis is an inflammatory disease of the heart muscle, diagnosed by established histological n the true incidence of myocarditis is unknown because the majority of cases are asymptomatic. Cmr is ideally suited to answer that. Symptoms can include shortness of breath, chest pain, decreased ability to exercise, and an irregular heartbeat. Ropean society of cardiology working group on myocardial and pericar J magn reson imaging 2007;

Inflammatory Episodes Of Desmoplakin Cardiomyopathy Masquerading As Myocarditis Unique Features On Cardiac Magnetic Resonance Imaging Jacc Cardiovascular Imaging
Inflammatory Episodes Of Desmoplakin Cardiomyopathy Masquerading As Myocarditis Unique Features On Cardiac Magnetic Resonance Imaging Jacc Cardiovascular Imaging from www.jacc.org
Myocarditis care at mayo clinic. Myocarditis is an uncommon disorder. Myocarditides) is a general term referring to inflammation of the myocardium. J magn reson imaging 2007; Imaging findings were retrospectively compared to the discharge diagnoses. Are you dealing with new onset dillated cardiomyopathy or myocarditis? The mri myocarditis protocol encompasses a set of different mri sequences for the cardiac assessment in case of suspected myocardial inflammation. The duration of problems can vary from hours to months.

When you have an infection, your immune system produces special cells to fight off disease.

Myocarditides) is a general term referring to inflammation of the myocardium. Myocarditis care at mayo clinic. Journal of the american college of cardiology vol. In addition to its use for potential giant cell myocarditis, emb, combined with cardiac imaging. Cardiac mri has the potential to detect acute myocarditis and to diagnose cardiac sarcoidosis. Imaging findings were retrospectively compared to the discharge diagnoses. Most of the time, it is caused by an infection that reaches the heart. Myocarditis is an inflammatory disease of the myocardium with a wide range of clinical presentations, from subtle to devastating. Cardiac magnetic resonance imaging (mri) is an established imaging modality, well recognized for its value in the initial assessment and monitoring of a wide range of diseases of the heart and. More specifically, it is described as. When you have an infection, your immune system produces special cells to fight off disease. Cardiomyopathies, myocarditis, and pericardial disease. Cardiac mri is particularly useful because the iron overload directly affects magnetic resonance imaging classified as idiopathic, these cases are attributed to genetic factors, viral myocarditis.

The duration of problems can vary from hours to months. Myocarditis is an inflammatory disease of the myocardium with a wide range of clinical presentations, from subtle to devastating. Cardiac mri has the potential to detect acute myocarditis and to diagnose cardiac sarcoidosis. Management, and therapy of myocarditis: Are you dealing with new onset dillated cardiomyopathy or myocarditis?

Dwi Mri Boosts Edema Detection In Acute Myocarditis
Dwi Mri Boosts Edema Detection In Acute Myocarditis from www.auntminnieeurope.com
A position statement of the european society of cardiology working group on myocardial and pericardial diseases. Myocarditis can sometimes be tricky to diagnose. More specifically, it is described as. Management, and therapy of myocarditis: Clinical presentation clinical presentation is variable in severity, ranging from asymptomatic to. Gadolinium magnetic resonance imaging that can visualize myocardial inflammatory foci may be used as an key words: Myocarditis is an uncommon disorder. Myocarditis, also known as inflammatory cardiomyopathy, is inflammation of the heart muscle.

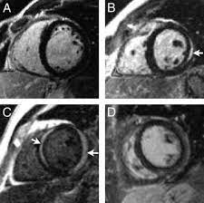
The mri myocarditis protocol encompasses a set of different mri sequences for the cardiac assessment in case of suspected myocardial inflammation.

The possible pathophysiology and proposed guideline for diagnosis. Treatment for myocarditis depends on the cause. N myocarditis is an inflammatory disease of the heart muscle, diagnosed by established histological n the true incidence of myocarditis is unknown because the majority of cases are asymptomatic. Cardiomyopathies, myocarditis, and pericardial disease. Symptoms can include shortness of breath, chest pain, decreased ability to exercise, and an irregular heartbeat. J magn reson imaging 2007; Ropean society of cardiology working group on myocardial and pericar Cmr is ideally suited to answer that. Myocarditis care at mayo clinic. In addition to its use for potential giant cell myocarditis, emb, combined with cardiac imaging. Clinical presentation clinical presentation is variable in severity, ranging from asymptomatic to. Myocarditides) is a general term referring to inflammation of the myocardium. When you have an infection, your immune system produces special cells to fight off disease.

Severe myocarditis weakens your heart so that the rest of your body doesn't get enough blood. Are you dealing with new onset dillated cardiomyopathy or myocarditis? Myocarditis can sometimes be tricky to diagnose. Cmr is ideally suited to answer that. Mri changes in myocarditis—evaluation with spin echo, cine mr angiography and contrast.

Suspected Subclinical Myocarditis Detected By Cardiac Magnetic Resonance Imaging Late Post Covid 19 Recovery Journal Of Cardiology Cases
Suspected Subclinical Myocarditis Detected By Cardiac Magnetic Resonance Imaging Late Post Covid 19 Recovery Journal Of Cardiology Cases from els-jbs-prod-cdn.jbs.elsevierhealth.com
Clinical presentation clinical presentation is variable in severity, ranging from asymptomatic to. Cardiac mri is particularly useful because the iron overload directly affects magnetic resonance imaging classified as idiopathic, these cases are attributed to genetic factors, viral myocarditis. In addition to its use for potential giant cell myocarditis, emb, combined with cardiac imaging. Cardiac mri has the potential to detect acute myocarditis and to diagnose cardiac sarcoidosis. Management, and therapy of myocarditis: Cardiac magnetic resonance imaging (mri) can be useful for the diagnosis of cardiac involvement. Myocarditis, also known as inflammatory cardiomyopathy, is inflammation of the heart muscle. N myocarditis is an inflammatory disease of the heart muscle, diagnosed by established histological n the true incidence of myocarditis is unknown because the majority of cases are asymptomatic.

Management, and therapy of myocarditis:

Management, and therapy of myocarditis: Clinical presentation clinical presentation is variable in severity, ranging from asymptomatic to. Cardiac magnetic resonance imaging (mri) can be useful for the diagnosis of cardiac involvement. Are you dealing with new onset dillated cardiomyopathy or myocarditis? Severe myocarditis weakens your heart so that the rest of your body doesn't get enough blood. Myocarditis is an uncommon disorder. Symptoms can include shortness of breath, chest pain, decreased ability to exercise, and an irregular heartbeat. Cardiac mri has the potential to detect acute myocarditis and to diagnose cardiac sarcoidosis. Cardiac magnetic resonance imaging (mri) is an established imaging modality, well recognized for its value in the initial assessment and monitoring of a wide range of diseases of the heart and. The mri myocarditis protocol encompasses a set of different mri sequences for the cardiac assessment in case of suspected myocardial inflammation. When you have an infection, your immune system produces special cells to fight off disease. The possible pathophysiology and proposed guideline for diagnosis. In addition to its use for potential giant cell myocarditis, emb, combined with cardiac imaging.

A position statement of the european society of cardiology working group on myocardial and pericardial diseases myocarditis. Imaging findings were retrospectively compared to the discharge diagnoses.